Gestion de l'infection de la syphilis fœtale diagnostiquée avant l’accouchement

Téléchargez cet article en format PDFPublié par : L'Agence de la santé publique du Canada
Numéro : Volume 48-2/3, février/mars 2022 : Résurgence de la syphilis au Canada
Date de publication : février/mars 2022
ISSN : 1481-8531
Soumettre un article
À propos du RMTC
Naviguer
Volume 48-2/3, février/mars 2022 : Résurgence de la syphilis au Canada
Témoignage
Examen de la gestion de l'infection à la syphilis congénitale diagnostiquée avant la naissance
Margot Rosenthal1, Vanessa Poliquin1
Affiliation
1 Département d'obstétrique, de gynécologie et de sciences de la reproduction, Collège de médecine Max Rady, Université du Manitoba, Winnipeg, MB
Correspondance
Citation proposée
Rosenthal MA, Poliquin V. Examen de la gestion de l'infection à la syphilis congénitale diagnostiquée avant la naissance. Relevé des maladies transmissibles au Canada 2022;48(2/3):125–9. https://doi.org/10.14745/ccdr.v48i23a09f
Mots-clés : syphilis, syphilis congénitale, grossesse, résultats d'échographies, hydrops fetalis
Résumé
Contexte : L'incidence de la syphilis chez les Canadiennes en âge de procréer a augmenté de façon spectaculaire au cours de la dernière décennie, avec une résurgence des nourrissons nés atteints de syphilis congénitale. Même s'il existe des lignes directrices pour éclairer l'infection maternelle pendant la grossesse, il existe peu de données pour orienter la gestion dans les situations où le fœtus en développement est gravement atteint.
Examen de cas : La patiente s'est présentée au deuxième trimestre de sa grossesse après avoir contracté la syphilis. Des analyses sérologiques positives (titrage du Venereal Disease Research Laboratory [VDRL] de 1:64) et un chancre suggèrent une infection primaire. L'échographie a démontré un fœtus ayant un âge gestationnel de 19+3 semaines atteint d'hydrops fetalis et présentant un cerveau nettement anormal. L'amniocentèse a confirmé une infection congénitale à la syphilis au cours de tests de réaction en chaîne par polymérase. Après un traitement de neuf jours à la pénicilline G par voie intraveineuse, l'état du fœtus s'est détérioré et la famille a finalement choisi une interruption médicale de la grossesse.
Discussion : L'évolution de la technologie de l'échographie permet d'identifier les fœtus gravement touchés, qui seraient peut-être venus au monde mort-nés dans le passé. À la suite de la syphiliothérapie courante au moyen de la pénicilline benzathine, ces caractéristiques échographiques anormales peuvent prendre des semaines ou des mois à s'inverser, ce qui pose un défi au niveau du pronostic et du counseling. Les données des rapports de cas suggèrent que le traitement intensif au moyen de la pénicilline par voie intraveineuse peut être efficace dans les cas graves présentant une hydrops fetalis.
Conclusion : Ce cas met en lumière la morbidité potentielle de l'infection à la syphilis congénitale et souligne le manque de documentation actuelle. L'échange de renseignements sera essentiel pour construire une base de connaissances moderne sur le traitement de cette maladie ancienne.
Introduction
Les infections à la syphilis chez les Canadiennes en âge de procréer ont augmenté de façon spectaculaire au cours de la dernière décennie, avec la résurgence des grossesses touchées et des nourrissons nés atteints de syphilis congénitaleNote de bas de page 1. La transmission verticale par passage transplacentaire des spirochètes se produit chez 50 % à 80 % des patientes non traitées, avec les taux de transmission les plus élevés pour les infections primaires et secondairesNote de bas de page 2. Les grossesses touchées présentent un risque accru de mortinaissance et d'accouchement prématuréNote de bas de page 3. Le traitement prénatal au moyen de la pénicilline benzathine G par voie intramusculaire est très efficace pour prévenir la syphilis congénitaleNote de bas de page 4. Dans une minorité de cas, les séquelles de l'infection fœtale peuvent être détectées par échographieNote de bas de page 5. Il y a un manque de données probantes disponibles pour orienter les cliniciens qui s'occupent de ces grossesses touchées.
Présentation de cas
Il s'agit du cas d'une femme G4P3 de 29 ans (quatrième grossesse; trois accouchements) qui a reçu des soins dans une communauté rurale au Manitoba, au Canada, puisqu'elle a été en contact avec la syphilis. Elle s'est présentée enceinte sans être sûre de la date de ses dernières menstruations et ses antécédents médicaux et chirurgicaux étaient non contributoire. Étant donné son risque en tant que contact sexuel, elle a été traitée pour la syphilis de façon empirique avec une dose de pénicilline benzathine G par voie intramusculaire. Elle s'est plainte de douleurs dorsales et de faiblesses qui se sont aggravées pendant plusieurs semaines avec une difficulté croissante à bouger le cou, ce qui a entraîné le transfert à notre point de soins tertiaires pour une évaluation et une gestion plus poussées.
Une lésion vulvaire non douloureuse et peu profonde a été détectée à la fourchette postérieure, qui a fait l'objet d'un prélèvement par écouvillonnage et qui s'est finalement révélée positive pour l'acide désoxyribonucléique de Treponema pallidum (T. pallidum) au cours des tests de réaction en chaîne par polymérase (PCR). Ses symptômes cliniques ont soulevé des préoccupations pour la neurosyphilis puisqu'elle a obtenu un résultat positif à un test de Jolt suggérant une irritation méningée même si les signes de Brudzinsky et de Kernig sont négatifs. La force dans les extrémités inférieures était objectivement réduite. Elle n'avait pas de fièvre ni d'éruption cutanée.
Elle a été admise à l'unité antépartum du Health Science Center de Winnipeg et cogérée par les services des maladies infectieuses, des maladies infectieuses reproductives et de la médecine fœtale et maternelle. Une ponction lombaire a été effectuée et un traitement antibiotique a commencé au moyen de la pénicilline G par voie intraveineuse (24 millions d'unités par jour divisées toutes les quatre heures conformément aux recommandations de dose pour la neurosyphilis). Le liquide céphalorachidien présentait de faibles niveaux de protéines (0,12 g/L) et des niveaux de glucose normaux, avec un nombre total normal de cellules nucléées de 1 x 106/L. La tomographie par ordinateur sans perfusion et l'imagerie par résonance magnétique du cerveau et de la colonne vertébrale (effectuées sans gadolinium parce qu'il est contre-indiqué pendant la grossesse) n'ont pas démontré d'anomalies aiguës. Elle était atteinte d'anémie microcytaire avec un niveau d'hémoglobine de 77 g/L et de marqueurs inflammatoires avec un taux de sédimentation érythrocytaire supérieur à 140 mm/heure et un niveau de protéine C-réactive de 58 mg/L.
L'infection syphilitique maternelle a été confirmée au moyen du titrage sérique du Venereal Disease Research Laboratory (VDRL) de 1:64 et les IgG de T. pallidum ont été détectés par test d'immunologie des microparticules chimioluminescentes. En plus du résultat positif du test PCR pour la lésion vulvaire confirmant un chancre, un examen sérologique de l'année précédente a confirmé qu'il s'agissait d'une infection primaire. Aucune autre infection sexuellement transmissible n'a été détectée et des résultats sérologiques supplémentaires sont présentés au tableau 1. L'analyse du liquide céphalorachidien pour le VDRL était négative et toutes les cultures (bactériennes, mycobactériennes et fongiques) étaient négatives.
| Test | Source | Résultat |
|---|---|---|
| Test Ab IgG+IgM de Treponema pallidum | Sérum | Positif |
| VDRL | Sérum | Réactif à 1:64 |
| IgM/IgG de Toxoplasma gondii | Sérum | Négatif/négatif |
| IgM/IgG du cytomégalovirus | Sérum | Négatif/anticorps détecté |
| IgM/IgG du parvovirus B19 | Sérum | Négatif/indéterminé |
| IgM du virus du Nil occidental | Sérum | Négatif |
| IgG d'Anaplasma phagocytophilum | Sérum | Négatif |
| Test PCR/TAAN pour l'ADN de Treponema pallidum | Lésion vulvaire | Cible détectée |
| VDRL du LCR | LCR | Non réactif |
| Test PCR/TAAN pour l'ADN de Treponema pallidum | LCR | Cible non détectée |
| Culture bactérienne | LCR | Négatif |
| Culture mycobactérienne | LCR | Négatif |
| Culture fongique | LCR | Négatif |
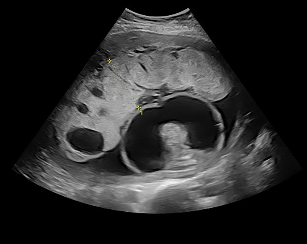
L'échographie réalisée en médecine fœtale-maternelle a démontré une grossesse intra-utérine vivante à l'âge gestationnel de 19+3 semaines. Le fœtus a été affecté par l'hydrops fetalis grave, comme en témoignent les grandes effusions pleurales, de grandes ascites qui compressent les reins et l'œdème de la paroi corporelle (figure 1). Le cerveau était très anormal avec un liquide céphalo-rachidien clair et des échos rayés dans tout le cortex (figure 2). Il y avait des polyhydramnios avec une poche verticale maximale de 8 cm, accompagné d'un placenta épais et ouvertement hydropique (figure 3). L'échographie Doppler de l'artère ombilicale était anormale avec un rapport systolique-diastolique accru. Cependant, le Doppler de l'artère cérébrale moyenne n'a pas démontré d'anémie fœtale (vitesse systolique de pointe 1,37 MoM). Pour effectuer l'évaluation de l'hydrops fetalis, une amniocentèse a été effectuée et elle a été envoyée pour une évaluation microbiologique et génétique. Les résultats sont résumés dans le tableau 2 et le test PCR était entre autres positif pour T. pallidum.
Figure 1 : De très grandes ascites, des intestins entassés et des reins comprimés suggérant une pression intra-abdominale élevée à l'âge gestationnel de 19+3 semaines

Description textuelle : Figure 1
Image par échographie, prise à l'âge gestationnel de 19+3 semaines. Vue abdominale en coupe transversale, démontrant de très grandes ascites, des intestins entassés et des reins comprimés à l'échographie, ce qui suggère une pression intra‑abdominale élevée.
Figure 2 : Œdème marqué au cuir chevelu, cerveau très anormal avec un liquide céphalo-rachidien clair, échos rayés dans toute la matière cérébrale à l'âge gestationnel de 19+3 semaines

Description textuelle : Figure 2
Image par échographie, prise à l'âge gestationnel de 19+3 semaines. Vue en coupe transversale du crâne, au niveau du cavum du septum pellicidum. Il y a de l'œdème marqué au cuir chevelu et la matière cérébrale à une apparence très anormale avec des échos rayés dans tout le liquide céphalo‑rachidien clair.
Figure 3 : Placenta hydropique et élargi avec de multiples lésions kystiques à l'âge gestationnel de 19+3 semaines

Description textuelle : Figure 3
Image par échographie, prise à l'âge gestationnel de 19+3 semaines. Il y a un placenta anormal, avec une apparence épaisse et hydropique ainsi que de multiples lésions kystiques.
| Test | Source | Résultat |
|---|---|---|
| Test PCR/TAAN pour l'ADN de Treponema pallidum | Liquide amniotique | Cible détectée |
| TAAN de l'ADN du cytomégalovirus | Liquide amniotique | Cible non détectée |
| TAAN de l'ADN du parvovirus B19 | Liquide amniotique | Cible non détectée |
| Culture virale | Liquide amniotique | Négatif |
Le traitement se poursuit au moyen de la pénicilline par voie intraveineuse dans l'espoir d'atteindre des niveaux suffisants pour traiter l'infection fœtale. Après neuf jours, une échographie détaillée répétée a démontré une aggravation de l'ascite fœtale. Le fœtus avait maintenant un âge gestationnel de 20+5 semaines avec une circonférence abdominale de 282 mm (taille à 32+2 semaines) (figure 4). L'œdème du cuir chevelu et les résultats de l'échographie Doppler sont demeurés stables. La famille a reçu des conseils détaillés sur les options, y compris l'interruption de grossesse ou la gestion de grossesse à l'aide d'une série d'échographies et d'imageries par résonance magnétique fœtale pour suivre les changements neurologiques structuraux. Dans l'ensemble, le pronostic était jugé médiocre compte tenu de l'étendue de l'hydrops fetalis au début de la gestation et de la gravité des changements dans le cortex cérébral. Ultimement, la famille a décidé de mettre fin à la grossesse. L'induction médicale du travail a été effectuée avec la mifépristone suivie du misoprostol par voie vaginale. Un nourrisson hydropique mort-né de sexe féminin a été mis au monde révélant une mort intrapartum, à un âge gestationnel de 21+0 semaines et pesant 747 g (plus du 99e centile pour l'âge gestationnel). La famille a refusé une autopsie. Le placenta pesait 387 g (plus de deux fois le poids moyen pour cet âge gestationnel) avec des signes pathologiques d'hémorragie déciduale, de nécrose et d'inflammation aiguë.
Figure 4 : Aggravation des ascites avec un abdomen ayant la taille de celui d'un fœtus ayant un âge gestationnel de 32 semaines à un âge gestationnel de 20+5 semaines

Description textuelle : Figure 4
Image par échographie, prise à l'âge gestationnel de 20+5 semaines. Le fœtus est vu de profil, avec un abdomen très distendu et des ascites graves évidentes. Ce jour‑là, l'abdomen fœtal est mesuré comme ayant la taille d'un fœtus d'environ 32 semaines.
Les symptômes maternels ont continué de s'améliorer après l'accouchement et l'arrêt de la pénicilline par voie intraveineuse. Une fois en mesure de se déplacer sans assistance, elle a été renvoyée chez elle. La sérologie de suivi a montré une réponse de traitement appropriée avec son titrage VDRL à 1:4.
Discussion
La syphilis congénitale est une maladie évitable. Dans un énoncé de 2019, la Société des obstétriciens et gynécologues du Canada a plaidé pour un dépistage adéquat pendant la grossesse, avec un dépistage amélioré en trois points dans les zones d'éclosionNote de bas de page 1. Il a été démontré que le traitement de la syphilis pendant la grossesse est très efficace pour réduire les taux de syphilis congénitale, de mortinaissance syphilitique et de complications obstétriques comme la naissance prématuréeNote de bas de page 3. Le traitement de choix est la pénicilline benzathine G par voie intramusculaire à une dose de 2,4 millions d'unités, avec une deuxième dose administrée une semaine plus tardNote de bas de page 3. Une troisième dose est recommandée pour les patientes atteintes de syphilis latente tardiveNote de bas de page 3.
Compte tenu du risque accru de restriction de la croissance intra-utérine, d'anomalies fœtales et d'hydrops fetalis, une surveillance sonographique supplémentaire est recommandéeNote de bas de page 6. Dans une étude de cohorte sur les femmes séropositives qui ont subi une échographie avant le traitement de la syphilis, Rac et al. ont constaté que 30 % présentaient des signes de syphilis congénitaleNote de bas de page 5. L'hépatomégalie fœtale était l'anomalie la plus remarquée (observée chez 79 % des fœtus touchés) et la placentomégalie, le polyhydramnios, les ascites et les données probantes d'anémie fœtale avec une vitesse systolique de pointe élevée au cours de l'échographie Doppler de l'artère cérébrale moyenne ont également été observéesNote de bas de page 5. Les auteurs ont suivi la chronologie de la résolution des anomalies à l'échographie de Doppler et ont trouvé que les anomalies à l'échographie de Doppler de l'artère cérébrale moyenne les ascites et le polyhydramnios étaient les premiers signes à se résoudre (résolution de 80 % dans les 40 jours), suivis par la placentomégalie et l'hépatomégalie, qui pourraient persister jusqu'à l'accouchement. Il est à noter que les résultats par échographie de la syphilis congénitale ne sont pas couramment détectés avant la gestation de 18 semaines, car le système immunitaire fœtal immature n'est pas encore en mesure de produire une réponse suffisanteNote de bas de page 3Note de bas de page 6.
Historiquement, la syphilis congénitale était diagnostiquée après la naissance, la plupart des nouveau-nés infectés présentant des symptômes avant le deuxième mois de vieNote de bas de page 6. Les technologies modernes, y compris l'échographie, ont démontré jouer un rôle en évolution dans le diagnostic de la syphilis congénitale au cours des trois dernières décennies. Une grande partie du savoir médical dans le traitement de la syphilis est antérieure à ces diagnostics prénatals, laissant le clinicien moderne avec un diagnostic, mais des données probantes limitées pour orienter le traitement.
Dans le cas de la patiente, le traitement a été amorcé à l'aide de pénicilline G par voie intraveineuse selon le schéma posologique de la neurosyphilis pour l'indication maternelle. Le traitement se poursuit dans l'espoir de traiter l'infection fœtale. Un rapport de cas de Galan et al. décrit l'utilisation de la pénicilline G par voie intraveineuse pour traiter l'hydrops fetalis liée à la syphilis à 24 semaines de gestation après qu'une échographie a montré des caractéristiques d'aggravation 10 jours après l'administration de la pénicilline benzathine par voie intramusculaireNote de bas de page 7. Leur patiente a présenté une résolution complète concernant les résultats sonographiques après 10 jours de thérapie par voie intraveineuseNote de bas de page 7. Un deuxième cas décrit par Chen et al. a fait état d'une patiente ayant reçu un diagnostic de syphilis secondaire à 28 semaines de grossesse avec des résultats sonographiques d'hydrops fetalis et d'anémie fœtale, et avec une vitesse systolique de pointe élevée de l'artère cérébrale moyenneNote de bas de page 8. Leur patiente a été admise et traitée au moyen de la pénicilline G pendant 14 jours afin de cibler des niveaux fœtaux maximaux et soutenusNote de bas de page 8. La patiente a subi une cordocentèse guidée par échographie et une transfusion fœtale, et a présenté la résolution de l'hydrops fetalis en deux semainesNote de bas de page 8. Même si les deux cas ont connu une résolution relativement rapide des symptômes comparativement aux données de la cohorte de Rac, il n'y a pas assez de renseignements pour tirer des conclusions sur le traitement optimal pour la syphilis fœtale.
Le premier cas décrit une situation qui, sans traitement, aurait presque certainement progressé vers la mortinaissance syphilitique. Les directives actuelles en matière d'obstétrique pour les enquêtes sur la mortinaissance sont vagues en matière de recommandations relatives au dépistage des infections, de nombreux hôpitaux locaux élaborant leurs propres protocolesNote de bas de page 9. Cela mène à la possibilité de diagnostics ambigus de syphilis pendant l'enquête sur l'hydrops fetalis non immunitaire et la mortinaissance, avec des conséquences pour les deux patientes et une meilleure santé publique.
Conclusion et appel à l'action
Ce cas met en évidence la gravité potentielle de l'infection à la syphilis congénitale et souligne la rareté de la documentation actuelle pour guider la gestion d'un fœtus gravement touché au cours de la période antépartum. L'échange de renseignements sera essentiel pour construire une base de connaissances moderne sur le traitement de cette maladie résurgente. On exhorte les fournisseurs de soins obstétricaux à augmenter le dépistage infectieux et à maintenir la syphilis comme diagnostic différentiel lorsqu'ils enquêtent sur des complications graves.
Déclaration des autrices
Les autrices n'ont aucun conflit d'intérêts à divulguer.
Le contenu de l'article et les points de vue qui y sont exprimés n'engagent que les auteurs et ne correspondent pas nécessairement à ceux du gouvernement du Canada.
Intérêts concurrents
Aucun.
Remerciements
Les autrices souhaitent remercier la Dre C Schneider pour sa contribution à ce cas.
Financement
Cette publication n'a pas été financée.

Cette œuvre est mise à disposition selon les termes de la Licence Creative Commons Attribution 4.0 International