Nouveau traitement oral de six mois contre la tuberculose pré-ultrarésistante aux médicaments


Publié par : L'Agence de la santé publique du Canada
Numéro : Volume 49-1, janvier 2023 : Veille bibliographique sur la surveillance de la COVID-19
Date de publication : janvier 2023
ISSN : 1719-3109
Soumettre un article
À propos du RMTC
Naviguer
Volume 49-1, janvier 2023 : Veille bibliographique sur la surveillance de la COVID-19
Science de l'application des connaissances
Nouveau traitement oral de six mois contre la tuberculose pré-ultrarésistante aux médicaments au Canada : les nouvelles options de traitement présentent de nouveaux défis de mise en œuvre
William Connors1,2,3, Cesilia Nishi4,5, Inna Sekirov6,7, Victoria Cook1,2, James Johnston1,2
Affiliations
1 Département de médecine, Université de la Colombie-Britannique, Vancouver, BC
2 Services liés à la tuberculose, Centre de contrôle des maladies de la Colombie-Britannique, Vancouver, BC
3 Division des maladies infectieuses, Hôpital général de Vancouver, Vancouver, BC
4 Département des sciences pharmaceutiques, Hôpital général de Vancouver, Vancouver, BC
5 Faculté des sciences pharmaceutiques, Université de la Colombie-Britannique, Vancouver, BC
6 Laboratoire de santé publique, Centre de contrôle des maladies de la Colombie-Britannique, Vancouver, BC
7 Pathologie et médecine de laboratoire, Université de la Colombie-Britannique, Vancouver, BC
Correspondance
Citation proposée
Connors WJA, Nishi C, Sekirov I, Cook VJ, Johnston J. Nouveau traitement oral de six mois contre la tuberculose pré-ultrarésistante aux médicaments au Canada : les nouvelles options de traitement présentent de nouveaux défis de mise en œuvre. Relevé des maladies transmissibles au Canada 2023;49(1):18–23. https://doi.org/10.14745/ccdr.v49i01a04f
Mots-clés : tuberculose, préomanide, bédaquiline, linézolide, tuberculose ultrarésistante aux médicaments, tuberculose multirésistante aux médicaments, Canada
Résumé
La tuberculose résistante aux médicaments est un problème de santé mondial majeur, en partie parce qu'il y existe moins de traitements efficaces et que ces traitements sont prolongés et plus toxiques. Les données probantes pour des traitements plus efficaces, plus courts et normalisés évoluent rapidement. Nous signalons ici le premier cas de tuberculose pulmonaire pré-ultrarésistante aux médicaments traité au moyen d'un nouveau traitement de bédaquiline, de préomanide et de linézolide (BPaL) par voie orale d'une durée de six mois au Canada. Les données d'essais cliniques récents à l'appui de la thérapie BPaL sont présentées dans le contexte des lignes directrices cliniques actuelles et en évolution. Dans le présent article, nous mettons en évidence les défis importants liés à la mise en œuvre et formulons des recommandations sur ce qu'il faut faire pour assurer une utilisation sécuritaire du BPaL dans le cadre des programmes au Canada. Les recommandations clés comprennent la création d'une infrastructure pour l'accès en temps opportun à de nouveaux tests de sensibilité aux médicaments antituberculeux, la simplification de l'accès aux nouveaux médicaments antituberculeux et l'utilisation prudente de ces médicaments, en collaboration avec des équipes de soins possédant une expertise en gestion de la tuberculose résistante aux médicaments.
Introduction
La tuberculose résistante aux médicaments est associée à une morbidité et à une mortalité disproportionnées liées à des traitements prolongés, plus toxiques et moins efficaces. En 2020, l'Organisation mondiale de la Santé (OMS) a estimé que 10 millions de personnes ont contracté la tuberculose, dont 500 000 personnes atteintes d'une tuberculose multirésistante et résistante à la rifampine (RR) Note de bas de page 1. Au cours des dernières années, une série d'essais cliniques évaluant des médicaments antituberculeux oraux nouveaux (bédaquiline, préomanide) et réutilisés (linézolide, clofazimine, fluoroquinolones) ont démontré le potentiel d'un traitement plus court, moins toxique et très efficace des formes de tuberculose résistantes aux médicaments Note de bas de page 2 Note de bas de page 3 Note de bas de page 4 Note de bas de page 5. En s'appuyant sur l'accumulation de données cliniques, l'OMS a récemment publié une mise à jour des lignes directrices cliniques approuvant l'utilisation d'un nouveau protocole de courte durée par voie orale (6 à 9 mois) de bédaquiline, de préomanide et de linézolide (BPaL) pour la tuberculose RR, la tuberculose multirésistante et la tuberculose pré-ultrarésistante (pré-tuberculose XDR) (tableau 1) Note de bas de page 6. Il s'agit d'un progrès important dans le traitement de la tuberculose, toutefois il présente également d'importants défis opérationnels, notamment l'accès en temps opportun aux tests de résistance et à l'approvisionnement en médicaments. Nous présentons notre expérience du traitement d'une personne atteinte de pré-tuberculose XDR avec les antibiotiques BPaL. Il s'agit de la première personne à suivre ce traitement au Canada. Les principaux défis de la mise en œuvre sont également décrits.
Type de résistance aux médicaments | Définition |
---|---|
Résistance à un ou plusieurs médicaments | Résistance à un ou plusieurs médicaments ne répondant pas aux critères MR/XDR |
MRNote de bas de page b | Résistance simultanée à la rifampine et à l'isoniazide |
Pré-tuberculose XDR | Critères MR plus résistance à la fluoroquinoloneNote de bas de page c |
XDR | Critères tuberculose pré-XDR plus résistance à la bédaquiline ou au linézolide |
|
Rapport de cas
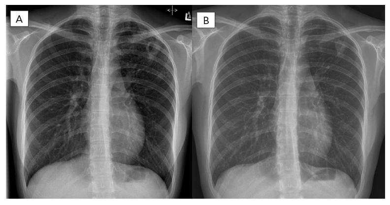
En mars 2021, une jeune femme de 18 ans a été aiguillée vers un programme provincial de lutte contre la tuberculose, avec des antécédents de toux depuis cinq mois et des sueurs nocturnes depuis plusieurs semaines. Une radiographie thoracique a révélé une cavitation du lobe supérieur gauche (figure 1). Les échantillons d'expectorations ont démontré la présence de bacilles résistants à l'acide par frottis, ce qui a été confirmé comme complexe de Mycobacterium tuberculosis par un essai de réaction en chaîne par polymérase ciblant les gènes IS6110 et mpt64. La patiente est née en Chine et avait déménagé au Canada trois ans avant le diagnostic de tuberculose. Elle n'avait ni exposition connue à la tuberculose, ni traitement, elle ne fumait pas et elle ne prenait pas de médicaments. Les enquêtes de référence étaient négatives pour le virus de l'immunodéficience humaine, l'hépatite B/C et le diabète.

Figure 1 - Équivalent textuel
La radiographie du côté gauche montre une lésion cavitaire à paroi épaisse dans le coin supérieur du poumon gauche avant le traitement et la radiographie de droite montre une amélioration lors du suivi six mois après la fin du traitement.
Une semaine après avoir été référée, elle a commencé à suivre un traitement antituberculeux standard de première intention à quatre médicaments et a continué à s'isoler à domicile. Trois semaines plus tard, des tests de sensibilité phénotypique de première intention ont révélé la possibilité d'une résistance à plusieurs médicaments, confirmée par des tests génotypiques et des tests phénotypiques répétés (tableau 2). L'isolat a été envoyé au Centre national de référence en mycobactériologie (Winnipeg, Manitoba) et au National Jewish Hospital Laboratory (Denver, Colorado) pour des tests de dépistage de médicaments de deuxième intention. La patiente a été admise à l'unité de lutte contre la tuberculose de l'hôpital provincial afin d'obtenir une thérapie adaptée à la tuberculose pré-XDR et de poursuivre l'isolement. Trois mois après le diagnostic, et deux mois après le début de l'hospitalisation, les résultats phénotypiques de la sensibilité aux médicaments de deuxième intention ont été finalisés par le Centre national de référence en mycobactériologie (tableau 2). Toutefois, aucun des laboratoires nord-américains avec lesquels nous avons communiqué ne disposait de tests de sensibilité aux médicaments phénotypiques pour la bédaquiline et le préomanide.
Médicament | MIC (mg/L) | Interprétation | Méthode de dépistage | Laboratoire de dépistage |
---|---|---|---|---|
Rifampine | Au moins 1 | Résistant | MGIT | Provincial |
Isoniazide | Au moins 0,4 | Résistant | MGIT | Provincial |
Pyrazinamide | Au moins 100 | Résistant | MGIT | Provincial |
Éthambutol | Au moins 5 | Résistant | MGIT | Provincial |
Moxifloxacine | Au moins 0,25 | Résistant | MGIT | Provincial |
Rifabutine | Au moins 0,5 | Résistant | MGIT | National |
AmikacineNote de bas de page a | Au moins 0,1 | Résistant | MGIT | National |
Éthionamide | Au moins 5 | Résistant | MGIT | National |
LinézolideNote de bas de page b | 1 | Sensible | MGIT | National |
Acide para-amino-salicylique | 4 | Sensible | MGIT | National |
Clofazimine | 0,12 ou moins | Possiblement sensible | Dilution en gélose | États-Unis |
Cyclosérine | 60 | Sensible | Dilution en gélose | États-Unis |
|
Le traitement est résumé à la figure 2. À l'hôpital, le traitement a d'abord été modifié pour quatre médicaments présumés efficaces (bédaquiline, clofazimine, cyclosérine, linézolide) une fois le Programme d'accès spécial (PAS) de Santé Canada approuvé et que l'achat de médicaments a été effectué. D'après des rapports récents sur l'utilisation efficace de la polythérapie avec le préomanide Note de bas de page 3, on a demandé l'approbation du PAS de Santé Canada. Bien que l'approbation du PAS pour l'utilisation du préomanide ait été obtenue rapidement, il a fallu trois semaines à partir de l'approbation pour amorcer le traitement en raison des retards du fabricant liés à l'établissement d'un compte pour commander et acheter le médicament. La patiente a commencé son traitement avec le préomanide, puis les médecins de l'unité de lutte contre la tuberculose ont décidé (par consensus) d'arrêter la clofazimine et la cyclosérine et de procéder à un traitement BPaL de six mois respectant les conditions opérationnelles de recherche décrites par l'OMS Note de bas de page 8. Cette décision a été éclairée par la gravité limitée de la tuberculose et le désir de limiter la toxicité et les perturbations sociales chez cette jeune patiente d'âge scolaire. La patiente a donné son consentement éclairé au traitement. Compte tenu de son poids (45 kg) et de ses préoccupations au sujet des taux élevés d'événements indésirables liés au linézolide à la dose quotidienne de 1 200 mg utilisée dans le régime BPaL publié Note de bas de page 3, la dose a été réduite à 600 mg par jour après un mois en fonction des paramètres pharmacocinétiques publiés. Les concentrations sériques maximales et les concentrations sériques de linézolide ont été mesurées par le Infectious Disease Pharmacokinetics Laboratory (Gainesville, Floride), et ils ont confirmé que l'exposition au médicament à 600 mg par jour était adéquate Note de bas de page 9.

Figure 2 - Équivalent textuel
Cette figure montre les médicaments contre la tuberculose utilisés au fil du temps, ainsi que la période d’hospitalisation/d’isolement, le frottis d’expectorations et l’état de la culture. On a utilisé de la rifampine, de l’isoniazide, de la pyrazinamide et de l’éthambutol au cours du premier mois; pendant les mois deux à quatre mois, la bédaquiline, la cyclosérine, la clofazimine et le linézolide étaient administrés; pendant les mois quatre à neuf mois, le traitement combiné de bédaquiline, de préomanide et de linézolide a été administré (ligne foncée/carré). L’hospitalisation (marquée par pointillés) est indiquée entre le deuxième et le cinquième mois. Les résultats négatifs par frottis d’expectorations ont été démontrés au troisième mois, et ceux de la culture au quatrième mois. La série de tests deux mois après le traitement montrait des résultats négatifs.
Incapable de s'isoler à la maison, la patiente est demeurée hospitalisée jusqu'à ce que la culture d'expectorations donne un résultat négatif (cinquième mois) (figure 3). Le traitement en service externe s'est fait au moyen de doses quotidiennes observées en personne ou d'une thérapie sous observation directe par vidéo asynchrone (figure 3). Les analyses sanguines mensuelles, notamment les numérations sanguines complètes, la fonction rénale, les enzymes hépatiques et les taux de lipase, ainsi que l'électrocardiogramme, n'ont révélé aucun effet indésirable du traitement qui nécessitait des modifications. Au cours du troisième mois du traitement, la patiente a subi une éruption papulaire prurigineuse multifocale sans progression ni symptômes systémiques en réaction symptomatique aux corticostéroïdes topiques. Elle s'est résorbée par l'arrêt de la clofazimine et de la cyclosérine.

Figure 3 - Équivalent textuel
Voici une représentation des médicaments antituberculeux utilisés au fil du temps avec de la rifampine, de l’isoniazide, de la pyrazinamide et de l’éthambutol utilisés au cours du premier mois. Pendant les mois deux à quatre, la bédaquiline, la cyclosérine, la clofazimine et le linézolide ont été utilisés. On a utilisé le traitement combiné de bédaquiline, de préomanide et de linézolide pendant les mois quatre à neuf. L’hospitalisation a eu lieu entre les mois deux à cinq. Les résultats négatifs par frottis d’expectorations ont été démontrés au troisième mois, et ceux de la culture au quatrième mois. La série de tests deux mois après le traitement montrait des résultats négatifs.
Un mois après l'hospitalisation et l'optimisation du traitement, tous les symptômes de la tuberculose avaient disparu et les tests sur les expectorations ainsi que les cultures étaient négatifs. La série d'imageries thoracique pendant les suivis montrait une amélioration. En novembre 2021, le traitement par les antibiotiques BPaL a été interrompu. Plus de six mois après le traitement, la patiente n'avait aucun symptôme, les cultures d'expectorations étaient négatives et l'imagerie thoracique montrait une guérison (figure 2 et figure 3).
Discussion
Les lignes directrices canadiennes recommandent actuellement un traitement de la tuberculose-multirésistante/tuberculose pré-XDR avec toutes les posologies orales personnalisées comprenant au moins quatre médicaments efficaces pendant au moins 20 mois Note de bas de page 10 Note de bas de page 11. Toutefois, les données probantes pour un traitement normalisé plus court, comme le BPaL, ont évolué rapidement depuis la publication des lignes directrices Note de bas de page 6. Ce cas illustre l'utilisation sûre et efficace du nouveau régime BPaL pour traiter la tuberculose pré-XDR au Canada. Il met également en lumière les principaux défis liés à la mise en œuvre, à savoir des tests de sensibilité aux médicaments antituberculeux accessibles en temps opportun, l'accès aux médicaments et les connaissances des programmes sur l'utilisation appropriée.
Les données probantes sur les antibiotiques BPaL proviennent de trois essais cliniques récents. L'essai ouvert Nix-TB en groupe unique, publié en 2020, a évalué pour la première fois le traitement BPaL de six mois contre la tuberculose pulmonaire multirésistante/tuberculose pré-XDR et a démontré que 90 % des participants ont obtenu des résultats favorables. Il s'agit d'un contraste frappant avec les résultats invariablement favorables de moins de 70 % avec les protocoles antérieurs fondés sur les lignes directrices. Cependant, les participants à l'essai ont connu une toxicité importante; avec une dose de linézolide de 1 200 mg par jour, plus de 80 % des participants ont signalé des effets indésirables et 71 % ont dû interrompre le traitement Note de bas de page 3. Afin de valider ces constatations et d'évaluer les stratégies d'atténuation de la toxicité, l'essai multinational de phase II/III TB-PRACTECAL a comparé le BPaL pendant six mois à l'aide d'une dose variable de linézolide (600 mg par jour pendant quatre mois, puis 300 mg ou 600 mg trois fois par semaine pendant deux mois) avec ou sans moxifloxacine ou clofazimine, par rapport à la norme de soin acceptée dans les administrations en question Note de bas de page 12. Alors que l'essai multinational ZeNIX de phase III, partiellement aveugle, a comparé une dose de BPaL pendant six mois à une dose de linézolide variable (1 200 mg ou 600 mg) et une durée de deux ou six mois Note de bas de page 4 Note de bas de page 13. Les résultats de ces essais montrent que plus de 80 % des participants ont obtenu de bons résultats de traitement avec une tolérance accrue à des doses réduites de linézolide (600 mg par jour); cependant, les résultats finaux de l'essai TB-PRACTECAL n'ont pas encore été publiés Note de bas de page 4 Note de bas de page 12.
À la lumière de ces constatations, l'OMS a récemment approuvé les antibiotiques BPaL comme options de traitement possibles contre la tuberculose très résistante aux médicaments Note de bas de page 6. Pour préserver l'efficacité et assurer la sécurité, la sélection minutieuse des patients et la surveillance du traitement doivent être au cœur des pratiques d'utilisation. À cette fin, l'OMS a décrit les critères d'admissibilité potentiels pour le traitement BPaL dans ses lignes directrices consolidées de 2020 sur le traitement de la tuberculose résistant aux médicaments Note de bas de page 8. Les critères centraux de sélection des patients sont le consentement éclairé, la surveillance des effets secondaires et la sensibilité à la tuberculose aux médicaments utilisés. Il convient également de souligner qu'il y a un manque de données probantes sur l'utilisation du BPaL chez les enfants (de moins de 15 ans) et sur la tuberculose extra-pulmonaire. Pour les cliniciens et les pharmaciens canadiens qui ont une connaissance limitée des nouveaux médicaments BPaL, la version récemment mise à jour de la 8e édition des Normes canadiennes pour la lutte antituberculeuse donne un aperçu utile de ces médicaments Note de bas de page 9.
Malgré la prévalence croissante de la résistance (notamment aux médicaments BPaL) et les recommandations demandant que la sensibilité aux médicaments de traitement soit confirmée en laboratoire chez toutes les personnes atteintes de tuberculose, la capacité d'effectuer des tests de sensibilité aux nouveaux médicaments antituberculeux, comme le préomanide et la bédaquiline, demeure limitée à l'échelle mondiale, et inaccessible au Canada Note de bas de page 6 Note de bas de page 8 Note de bas de page 15. Les lignes directrices du Clinical and Laboratory Standards Institute, un ensemble de normes de laboratoire utilisées dans le monde entier, ne fournissent pas de recommandations sur le rendement des essais ou l'interprétation de l'un ou l'autre de ces médicaments. Bien que des points d'arrêt pour les tests de sensibilité à la bédaquiline et au délamanide (un médicament de la classe de la nitroimidazooxazine comme le préomanide) soient disponibles par l'intermédiaire des lignes directrices du Comité européen sur les tests de sensibilité aux antimicrobiens, certains médicaments utilisés pour la mise en place de tests font l'objet de pénuries (dans le cas du délamanide). De plus, l'absence d'organisations facilement accessibles ayant des accréditations adéquates pour la validation et la normalisation sont un obstacle à la mise en œuvre. Dans notre cas, ces facteurs ont contribué à l'absence de tests de sensibilité sur la bédaquiline et le préomanide. Même lorsque des tests de sensibilité aux médicaments sont disponibles pour un médicament particulier, les délais avant d'obtenir des résultats ont une incidence sur la prise de décisions en temps opportun et l'utilité clinique. Dans notre cas, il a fallu trois mois pour obtenir des résultats définitifs sur la sensibilité au linézolide en raison des retards d'expédition des spécimens, des limites de la capacité d'essai et de l'isolement d'incubation et de problèmes particuliers de croissance. Par conséquent, il faut envisager des traitements élargis en attendant les résultats des tests de sensibilité, et l'absence de test ne permet pas de confirmer que les médicaments BPaL sont appropriés. En s'appuyant sur des recommandations de traitement autres que le BPaL, des médicaments supplémentaires comme la moxifloxacine, la clofazimine et la cyclosérine pourraient être inclus en attendant les résultats des tests de sensibilité Note de bas de page 6 Note de bas de page 10.
Recommandations
L'utilisation sécuritaire et efficace des BPaL pour le traitement des personnes atteintes de tuberculose résistante aux médicaments au Canada présente des défis importants en matière de mise en œuvre. Pour relever ces défis, nous recommandons ce qui suit :
- (Bédaquiline, préomanide, clofazimine, linézolide, cyclosérine) en priorité, grâce à la collaboration entre les laboratoires régionaux et les centres de référence et de recherche nationaux et internationaux
- Simplifier l'accès aux nouveaux médicaments antituberculeux en utilisant des critères d'admissibilité communs et normalisés ainsi que des voies d'approvisionnement et de demande prioritaires harmonisées avec le PAS de Santé Canada et les fournisseurs de médicaments
- Limiter ce régime à des conditions de recherche opérationnelle qui reflètent les critères d'admissibilité et les lignes directrices de mise en œuvre semblables à celles décrites par l'OMS Note de bas de page 8, en particulier en l'absence d'une sensibilité documentée aux médicaments BPaL (en particulier le linézolide et la bédaquiline, maintenant plus largement utilisés)
Parallèlement à ces améliorations nécessaires au système, conformément aux lignes directrices nationales et internationales sur les pratiques exemplaires, la gestion au cas par cas des personnes atteintes de tuberculose résistante aux médicaments devrait se faire en étroite collaboration avec une équipe de médecins, d'infirmières et de pharmaciens expérimentés Note de bas de page 7 Note de bas de page 10 Note de bas de page 11.
Conclusion
Les nouvelles options de traitement de la tuberculose résistante aux médicaments représentent un progrès important pour les efforts mondiaux de lutte contre la tuberculose. Toutefois, des améliorations aux systèmes et une surveillance opérationnelle continue étroite seront nécessaires pour assurer l'intégration efficace et durable de ces nouveaux traitements dans les soins de la tuberculose au Canada.
Déclaration des auteurs
W. C. — Conceptualisation de l'article, contribution à la rédaction et à la révision de l'article
V. C. — Contribution à la rédaction et à la révision de l'article
J. J. — Contribution à la rédaction et à la révision de l'article
I. S. — Contribution à la rédaction et à la révision de l'article
C. N. — Contribution à la rédaction et à la révision de l'article
Le contenu de l'article et les points de vue qui y sont exprimés n'engagent que les auteurs et ne reflètent pas nécessairement ceux du gouvernement du Canada.
Intérêts concurrents
Aucun.
Remerciements
Nous remercions les pharmaciens, les infirmières, les intervenants et le personnel du laboratoire de mycobactériologie du Programme de lutte contre la tuberculose du Centre de contrôle des maladies de la Colombie-Britannique pour leur dévouement et leur expertise, ainsi que du personnel de l'unité de lutte contre la tuberculose et l'équipe de pharmacie de l'Hôpital général de Vancouver. Nous remercions le personnel du laboratoire du Centre national de référence en mycobactériologie de leurs efforts de collaboration sur les tests de sensibilité aux médicaments. Enfin, nous soulignons le courage et l'altruisme incroyable de la femme qui a accepté de communiquer son plan de traitement pour ce rapport afin que nous, et d'autres, puissions apprendre.
Financement
Aucun.
Références
- Note de bas de page 1
-
World Health Organization. Global tuberculosis report 2021. Geneva (CH): WHO; 2021. https://www.who.int/publications/i/item/9789240037021
- Note de bas de page 2
-
Nunn AJ, Phillips PP, Meredith SK, Chiang CY, Conradie F, Dalai D, van Deun A, Dat PT, Lan N, Master I, Mebrahtu T, Meressa D, Moodliar R, Ngubane N, Sanders K, Squire SB, Torrea G, Tsogt B, Rusen ID; STREAM Study Collaborators. A Trial of a Shorter Regimen for Rifampin-Resistant Tuberculosis. N Engl J Med 2019;380(13):1201–13. https://doi.org/10.1056/NEJMoa1811867
- Note de bas de page 3
-
Conradie F, Diacon AH, Ngubane N, Howell P, Everitt D, Crook AM, Mendel CM, Egizi E, Moreira J, Timm J, McHugh TD, Wills GH, Bateson A, Hunt R, Van Niekerk C, Li M, Olugbosi M, Spigelman M; Nix-TB Trial Team. Treatment of Highly Drug-Resistant Pulmonary Tuberculosis. N Engl J Med 2020;382(10):893–902. https://doi.org/10.1056/NEJMoa1901814
- Note de bas de page 4
-
Conradie F, Bagdasaryan TR, Borisov S, Howell P, Mikiashvili L, Ngubane N, Samoilova A, Skornykova S, Tudor E, Variava E, Yablonskiy P, Everitt D, Wills GH, Sun E, Olugbosi M, Egizi E, Li M, Holsta A, Timm J, Bateson A, Crook AM, Fabiane SM, Hunt R, McHugh TD, Tweed CD, Foraida S, Mendel CM, Spigelman M; ZeNix Trial Team. Bedaquiline-Pretomanid-Linezolid Regimens for Drug-Resistant Tuberculosis. N Engl J Med 2022;387(9):810–23. https://doi.org/10.1056/NEJMoa2119430
- Note de bas de page 5
-
Esmail A, Oelofse S, Lombard C, Perumal R, Mbuthini L, Goolam Mahomed A, Variava E, Black J, Oluboyo P, Gwentshu N, Ngam E, Ackerman T, Marais L, Mottay L, Meier S, Pooran A, Tomasicchio M, Te Riele J, Derendinger B, Ndjeka N, Maartens G, Warren R, Martinson N, Dheda K. An All-Oral 6-Month Regimen for Multidrug-Resistant Tuberculosis: A Multicenter, Randomized Controlled Clinical Trial (the NExT Study). Am J Respir Crit Care Med 2022;205(10):1214–27. https://doi.org/10.1164/rccm.202107-1779OC
- Note de bas de page 6
-
World Health Organization. Rapid communication: key changes to the treatment of drug-resistant tuberculosis. Geneva (CH): WHO; May 2022. https://www.who.int/publications/i/item/WHO-UCN-TB-2022-2
- Note de bas de page 7
-
World Health Organization. Meeting report of the WHO expert consultation on the definition of extensively drug-resistant tuberculosis, 27-29 October 2020. Geneva (CH): (WHO); 2021. https://www.who.int/publications/i/item/9789240018662
- Note de bas de page 8
-
World Health Organization. WHO consolidated guidelines on tuberculosis. module 4: treatment: drug-resistant tuberculosis treatment. Geneva (CH): WHO; 2020. https://www.who.int/publications/i/item/9789240007048
- Note de bas de page 9
-
Haley CA, Macias P, Jasuja S, Jones BA, Rowlinson MC, Jaimon R, Onderko P, Darnall E, Gomez ME, Peloquin C, Ashkin D, Goswami ND. Novel 6-Month Treatment for Drug-Resistant Tuberculosis, United States. Emerg Infect Dis 2021;27(1):332–4. https://doi.org/10.3201/eid2701.203766
- Note de bas de page 10
-
Brode SD, Dwilow R, Kunimoto D, Menzies D, Khan FA. Chapter 8: Drug-resistant tuberculosis. Can J Respir Crit Care Sleep Med 2022;6(Suppl 1):109–28. https://doi.org/10.1080/24745332.2022.2039499
- Note de bas de page 11
-
Nahid P, Mase SR, Migliori GB, Sotgiu G, Bothamley GH, Brozek JL, Cattamanchi A, Cegielski JP, Chen L, Daley CL, Dalton TL, Duarte R, Fregonese F, Horsburgh CR Jr, Ahmad Khan F, Kheir F, Lan Z, Lardizabal A, Lauzardo M, Mangan JM, Marks SM, McKenna L, Menzies D, Mitnick CD, Nilsen DM, Parvez F, Peloquin CA, Raftery A, Schaaf HS, Shah NS, Starke JR, Wilson JW, Wortham JM, Chorba T, Seaworth B. Treatment of Drug-Resistant Tuberculosis. An Official ATS/CDC/ERS/IDSA Clinical Practice Guideline. Am J Respir Crit Care Med 2019;200(10):e93–142. https://doi.org/10.1164/rccm.201909-1874ST
- Note de bas de page 12
-
ClinicalTrials.gov. Pragmatic Clinical Trial for a More Effective Concise and Less Toxic MDR-TB Treatment Regimen(s) (TB-PRACTECAL), Identifier: NCT02589782. Bethesda (MD): NLM (US); [Modifié le 14 mai 2021; accédé le 25 mai 2022]. https://clinicaltrials.gov/ct2/show/NCT02589782
- Note de bas de page 13
-
ClinicalTrials.gov. Safety and efficacy of various doses and treatment durations of linezolid plus bedaquiline and pretomanid in particpants with pulmonary, XDR-TD, pre-XDR-TD or non-responsive/intolerant MDR-TD (ZeNix). Bethesda (MD): NLM (US); [Modifié le 28 janv. 2022; accédé le 25 mai 2022]. https://clinicaltrials.gov/ct2/show/NCT03086486
- Note de bas de page 14
-
Medecins sans Frontieres. Clinical trial results offer hope to DR-TB patients with short, effective treatment [press release]. MSF, October 20, 2021. https://www.msf.org/clinical-trial-finds-short-effective-safe-DR-TB-treatment
- Note de bas de page 15
-
Farooq HZ, Cirillo DM, Hillemann D, Wyllie D, van der Werf MJ, Ködmön C, Nikolayevskyy V. Limited Capability for Testing Mycobacterium tuberculosis for Susceptibility to New Drugs. Emerg Infect Dis 2021;27(3):985–7. https://doi.org/10.3201/eid2703.204418

Cette œuvre est mise à disposition selon les termes de la Licence Creative Commons Attribution 4.0 International